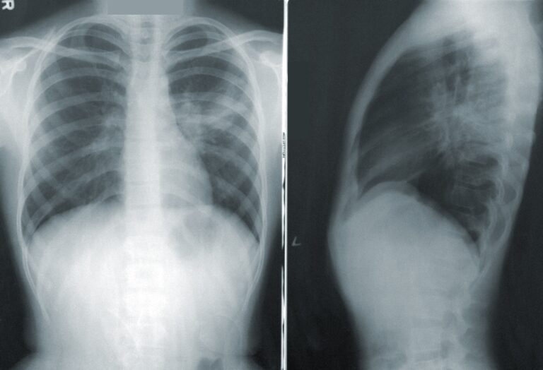
La radiografía de tórax: ¿qué es y cuándo se utiliza?

chest x-rayLa radiografía de tórax es una prueba de diagnóstico por imagen que permite obtener una imagen de los órganos del tórax, como los pulmones, el corazón y los vasos sanguíneos. Esta prueba se realiza utilizando una máquina de rayos X que emite una pequeña cantidad de radiación ionizante para obtener imágenes del interior del cuerpo. La radiografía de tórax es una herramienta diagnóstica muy útil que se utiliza para detectar una amplia variedad de enfermedades y trastornos.

¿Cuándo se utiliza la radiografía de tórax?

La radiografía de tórax se utiliza en diferentes situaciones clínicas, desde la evaluación de una tos persistente hasta la detección de un posible cáncer de pulmón. Los médicos pueden solicitar una radiografía de tórax para:

Detectar enfermedades pulmonares como la neumonía, la tuberculosis, el enfisema y el cáncer de pulmón.
Evaluar enfermedades cardíacas como la insuficiencia cardíaca o la cardiomegalia (aumento del tamaño del corazón).
Evaluar el estado de los huesos y los músculos del tórax.
Controlar la progresión de una enfermedad pulmonar crónica como la enfermedad pulmonar obstructiva crónica (EPOC).
Monitorizar el éxito del tratamiento en enfermedades como el cáncer de pulmón.
Detectar la presencia de cuerpos extraños en el tórax.
La radiografía de tórax también puede utilizarse en situaciones de emergencia para detectar lesiones pulmonares o cardíacas después de un accidente.

¿Cómo se realiza una radiografía de tórax?

La radiografía de tórax es una prueba no invasiva y segura que se realiza en una sala especializada en radiología. Durante la prueba, el paciente se coloca de pie frente a una placa de rayos X y se le pide que mantenga una posición específica mientras se toman las imágenes. El técnico de radiología puede colocar al paciente en diferentes posiciones para obtener imágenes de diferentes ángulos.

El proceso de realización de la radiografía de tórax suele durar entre 10 y 15 minutos y no suele causar dolor ni incomodidad al paciente. El paciente debe quitarse cualquier objeto metálico, como joyas o hebillas de cinturón, antes de la prueba.

¿Por qué es importante realizarse una radiografía de tórax?

La radiografía de tórax es una herramienta importante en el diagnóstico y tratamiento de una amplia variedad de enfermedades y trastornos. Esta prueba puede ayudar a los médicos a detectar enfermedades en una etapa temprana, lo que aumenta las posibilidades de un tratamiento exitoso. Además, la radiografía de tórax es una herramienta útil en la monitorización del éxito del tratamiento y en la detección de complicaciones.


Design a site like this with WordPress.com
Get started